Retinopatia diabètica

Com ja hem vist, la retinopatia diabètica es l’afectació principal de la diabetis als ulls. La seva classificació depèn de l’aparició de diferents lesions, que condicionen el pronòstic visual

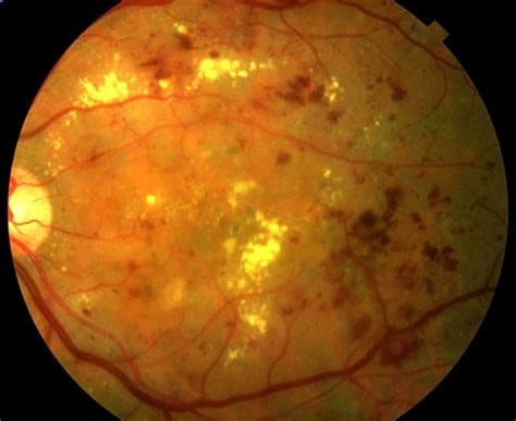
Retinopatia diabètica no proliferativa

Les primeres lesions que apareixen a la retina son els microaneurismes. Petites terminacions de forma esférica al final dels vasos. A la pràctica, el retinòleg veu uns punts rodons molts petits. Tenen tendència a apareixer al pol posterior, el sector de la retina més important per la visió. Quan només hi ha microaneurismes, en diem RD no proliferativa lleu. Es l’única fase reversible de la malaltia i s’ha vist que el control glucèmic i de la tensió arterials son clau.

Tot seguit apareixen les hemorràgies, petites fugues de sang dels vasos retinians. Solen aparèixer en retina més perifèrica i no solen afectar de forma directa a l’agudesa visual. Segons quantes hemorràgies tinguem i la seva distribució, estarem parlant d’una RD no proliferativa moderada o greu.

Les hemorràgies, a més, es poden acompanyar d’unes lesions exsudatives. Això indica que els vasos estan fugant líquid, i pot ser per isquèmia (tous) o per exsudació lipídica no isquèmica però crònica (durs).

Retinopatia diabètica proliferativa

Totes aquestes alteracions vasculars acaben provocant la manca d’irrigació d’alguns segments de la retina. Les cèl·lules que pateixen (no els hi arriba l’oxigen) envien unes senyals bioquímiques d’auxili. El cos, molt intel·ligent, crea nous vasos. Malauradament, no els crea cap a on toquen, van cap al vitri, cap al pol posterior… i proliferen. Un cop aquí, ens trobem a la fase proliferativa de la RD, la pitjor.

Aquests neovasos tenen tendència a trencar-se i provocar grans hemorràgies vítries, pel que tindrem la visió anul·lada fins que la sang es reabsorbeixi (o passem per quiròfan). També tenen tendència a créixer per l’angle iridocorneal i provocar pujades de pressió molt difícils de controlar. Per si fos poc també creixen per l’iris i poden acabar inmovilitzant-lo.

Com ja us podeu imaginar, aquesta última etapa presenta un pronòstic terrible. Per tant, l’objectiu del retinòleg és aconseguir que el pacient no arribi a la RD proliferativa. Com es fa? Insistint en el control glucèmic. Aquesta es la clau. Des d’un punt de vista oftalmològic, l’únic que podem fer es atacar aquella regió de retina que està en isquèmica (no li arriba prou sang). Amb un làser cremem aquelles regions de retina que no fem servir i que estan patint. D’aquesta manera preservem el pol posterior i evitem l’aparició de neovasos.

Bibliografia més avançada:

Un article excel·lent de les figures de referència de retina a nivell europeu:
Kodjikian L, Bellocq D, Bandello F, Loewenstein A, Chakravarthy U, Koh A, Augustin A, de Smet MD, Chhablani J, Tufail A, García-Layana A, Sudhalkar A, Mathis T. First-line treatment algorithm and guidelines in center-involving diabetic macular edema. Eur J Ophthalmol. 2019 Nov;29(6):573-584. doi: 10.1177/1120672119857511. Epub 2019 Jun 26. PMID: 31238719.

Este sitio web utiliza cookies para que usted tenga la mejor experiencia de usuario. Si continúa navegando está dando su consentimiento para la aceptación de las mencionadas cookies y la aceptación de nuestra política de cookies, pinche el enlace para mayor información.

ACEPTAR
Aviso de cookies